FORMULA LEUCOCITARIA
Sinonimia: células blancas - recuento diferencial de leucocitos
morfología de células blancas.
Método: Recuento de leucocitos: el método de referencia
es el de recuento en cámara, que tiene un coeficiente de variación
de 15%. Los analizadores hematológicos se basan en los métodos
de impedancia o dispersión de la luz.
(Ver Laboratorio en el estudio hematológico.
Anemias).
Fórmula leucocitaria: las técnicas de coloración
de los extendidos sanguíneos se basan en los métodos de
Wright Giemsa.
Los analizadores hematológicos de basan principalmente en la discriminación
por morfología y en el tamaño de los leucocitos. Algunos
instrumentos utilizan citometría de flujo y reacciones citoquímicas
para reconocer las subpoblaciones.
Otros instrumentos se basan en el recuento y tamaño de las células,
midiendo cambios en la resistencia eléctrica cuando las células
pasan a través de una apertura entre dos electrodos suspendidos
en un diluyente.
Hay instrumentos que combinan varias técnicas y se basan principalmente
en citometría de flujo láser de alta resolución para
diferenciar las subpoblaciones.
Muestra: sangre entera fresca (preferentemente con EDTA). Estable
24 hs a temperatura ambiente.
Valores de referencia: fórmula porcentual y leucocitos/ml.
| |
Neonatos
|
1año |
Adultos |
Neutrófilos en banda |
9% |
600-3000 |
3% |
50-700 |
2 -8 % |
1800-7000 |
Neutrófilos |
52% |
3300-17000 |
28% |
1800-4600 |
46 - 66 % |
0-700 |
Eosinófilos |
2 % |
20-850 |
3 % |
50-700 |
1 - 5 % |
0-450 |
Basófilos |
0 % |
0-640 |
0 % |
0-200 |
0 -1 % |
0-200 |
Linfocitos |
31 % |
2000-11000 |
61 % |
4000-10500 |
20 - 40 % |
1000-4800 |
Monocitos |
6 % |
400-3100 |
6 % |
50-1100 |
2 - 10 % |
100-800 |
Significado clínico:
El recuento diferencial automatizado de leucocitos tiene mayor precisión
que el examen microscópico, permitiendo la evaluación de
cambios cualitativos y cuantitativos en los hematíes, plaquetas
y leucocitos de la sangre. (Ver variables por enfermedad)
Utilidad clínica:
- Screening de leucocitosis, leucopenias, infecciones.
- Evaluación de infección, inflamación, intoxicación,
anemia, colagenosis, leucemia, desórdenes mielo y linfoproliferativos,
tumores, inmunosupresión de médula ósea, leucocitosis,
leucopenias.
Variables preanalíticas:
- Aumento del número de linfocitos: linfocitosis fisiológica
de la infancia.
- Aumento del número de monocitos: monocitosis fisiológica
del recién nacido.
Variables por enfermedad:
Las alteraciones de la fórmula leucocitaria pueden clasificarse
en dos grupos:
1) Alteraciones cuantitativas:
a) Aumento de un determinado tipo de leucocitos:
- - Aumento del número de neutrófilos (infecciones bacterianas,
síndromes mieloproliferativos, inflamaciones de origen no infeccioso,
necrosis hística, enfermedades metabólicas, neutrofilia
congénita).
- - Aumento del número de eosinófilos (enfermedades alérgicas,
parasitosis, enfermedades de la piel, eosinofilia pulmonar, síndrome
hipereosinofílico, neoplasias).
- - Aumento del número de basófilos (hipersensibilidad,
mixedema, síndromes mielo-proliferativos crónicos, cirrosis
hepática, hemólisis, síndrome inflamatorio crónico).
- - Aumento del número de linfocitos (infecciones bacterianas,
infecciones virales, linfocítica o linfoblástica).
- - Aumento del número de monocitos (infecciones bacterianas
de tipo crónico, enfermedad de Hodgkin y otras neoplasias, enfermedad
del colágeno).
b) Disminución de un determinado tipo de leucocitos:
- - Neutropenia (enfermedad del colágeno, infección tipo
crónico, neutropenia crónica idiopática).
- - Linfopenia (insuficiencia cardíaca congestiva, estado inicial
de la enfermedad de Hodgkin).
- - Eosinopenia y basopenia (enfermedad de Cushing), enfermedades alérgicas
(basopenia).
c) Presencia de células inmaduras en sangre periférica:
- - Salida de elementos celulares pertenecientes a la línea madurativa
granulopoyética (infecciones agudas, reacción leucemoide,
leucemia mieloide crónica, mielofibrosis idiopática).
- - Salida de elementos celulares de la serie eritroide: respuesta a
estímulo extracelular (síndromes hemolíticos intensos
y crónicos, eritroblastosis fetal); de origen medular (diseritropoyesis
congénita o adquirida, eritremias primarias o asociadas a distintos
síndromes mieloproliferativos agudos o crónicos).
- - Salida de células muy inmaduras (blastos) de una o más
series madurativas (leucemia aguda) o de células linfoides en
diferentes estadíos de maduración (linfoma leucemizado).
2) Alteraciones cualitativas:
- - Polinucleares neutrófilos (alteraciones de granulación:
granulación tóxica, cuerpos de Dohle, anomalías
de Alder Reilly, anomalías de Chediack-Higashi, desgranulación
de los polinucleares neutrófilos).
- - Linfocitos (aumento de basofilia del citoplasma en infecciones víricas;
aumento de tamaño y citoplasma azul claro (linfocitos T estimulados)
en mononucleosis infecciosa y otras virosis).
- - Plaquetas (aumento de tamaño: mielofibrosis, trombocitopenia
esencial, dismorfia).
- - Hematíes:
Alteraciones del tamaño (macro y microcitosis).
Alteraciones de la forma (esferocitosis, rodocitos, drepanocitos, eliptocitos,
equinocitos, acantocitos, dacriocitos, esquizocitos).
Alteraciones del color: hipocromía, policromía, anisocromía.
Presencia de inclusiones intraeritrocitarias (punteado basófilo,
granulación azurófila, anillos de Cabot, cuerpos de Howell
Jolly, parásitos).
Para mayor información
ver: Fórmula leucocitaria. Información diagnóstica
e interferencias.
Variables por drogas:
a) Aumento de un determinado tipo de leucocitos:
- - Aumento del número de neutrófilos: administración
de haloperidol, litio, barbitúricos.
- - Aumento del número de eosinófilos: ingesta de medicamentos.
b) Disminución de un determinado tipo de leucocitos:
- - Linfopenia: administración de corticosteroides.
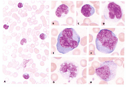
Foto 1: Maduración del leucocito neutrófilo (6)

F oto 2: Leucocitosis polimorfonuclear con granulaciones tóxicas
(6)

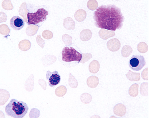
Foto 3: Mononucleosis infecciosa (6)

Foto 4: Linfocitos en la neumonía viral (6)
Foto 5: Infección neonatal por citomegalovirus (6)
FORMULA LEUCOCITARIA:
INFORMACION DIAGNOSTICA E INTERFERENCIAS
SERIE NEUTROFILICA
Neutrofilia
Infecciones: Bacterianas, micóticas, algunas
virales, por espiroquetas, Rickettsia y parásitos.
Desórdenes inflamatorios: Fiebre reumática,
artritis reumatoidea, daño tisular (ej.: después de una
cirugía), necrosis isquémica (ej.: infarto de miocardio),
gota, sensibilidad a drogas, colitis, pancreatitis, nefritis, miositis,
tiroiditis, dermatitis, peritonitis. Fumadores.
Intoxicaciones: Diabetes mellitus, uremia, eclampsia,
necrosis hepática.
Desórdenes hematológicos: Mieloproliferativos
(incluyen leucemia mieloide crónica, policitemia vera, mielonefrosis
con metaplasia mieloide), post-esplenectomía, anemias hemolíticas,
hemorragias, leucocitosis idiopática crónica.
Estímulos físicos y emocionales:
Frío, calor, ejercicio, dolor, quemaduras, embarazo, trauma, náuseas
y vómitos, shock eléctrico, anoxia, temor, alegría.
Neoplasmas malignos: Una variedad de neoplasmas,
especialmente carcinoma bronco-génico.
Neutropenia
Infecciones: Bacterianas (fiebre tifoidea, paratifoidea,
brucelosis), virales (influenza, rubeola, paperas, hepatitis infecciosa,
varicela, dengue, fiebre amarilla), por Rickettsia (tifus, Rickettsial
pox), por protozoarios (malaria, kala azar), grandes procesos infecciosos
(especialmente en personas mayores e individuos débiles).
Desórdenes hematológicos: Anemia
aplásica, leucemia aguda subleucémica, neutropenia idiopática,
anemia megaloblástica, hiperesplenismo, anemia mielotísica
(reemplazo de médula), anemia por deficiencia de hierro, hemoglobinuria
paroxística nocturna.
Miceláneas: Shock anafilactoide, hipotiroidismo,
tirotoxicosis, cirrosis hepática, hipopituitarismo, neutropenia
cíclica, neutropenia congénita, síndrome de Chédiak-Higashi.
Interferencias
Aumento: Acetilcolina, monóxido de carbono,
clorpropamida, corticosteroides, epinefrina, caseína, corticotropina,
digitalis, endotoxina, etilenglicol, etiocolanolona, heparina, histamina,
venenos de insectos, plomo, mercurio, norepinefrina, clorato de potasio,
turpentina.
Disminución: Agentes que afectan a individuos
susceptibles: analgésicos: acetaminofeno, aminopirina,
dipirona, agentes antiinflamatorios no esteroideos (ej.: ibuprofeno,
indometacina, fenilbutazona, oxifenbutazona); anticonvulsivantes:
carbamacepina, etosuximida, mefenitoína, fenitoína,
trimetadiona, ácido valproico; antihistamínicos:
metafenileno, tripelenamina; agentes antimicrobianos:
cefalosporinas, cloranfenicol, clindamicina, cotrimoxazole, gentamicina,
isoniazida, metronidazole, nitrofurantoína, novobiocin, ácido
paminobenzoico, penicilinas, estreptomicina, sulfonamidas, tetraciclinas,
trimetoprim, vancomicina; agentes antitiroideos: carbimazole,
metimazole, propiltiouracilo, uracilo; agentes antivirales:
ganciclovir, zidovudina; agentes cardio-vasculares: ajmalina,
aprindina, captotril, enalapril, quinidina, rauwolfia, tocainida; diuréticos:
acetozolamida, clortalidona, ácido etacrínico, espironolactona,
tiazidas; agentes hipoglucémicos: carbutamida,
clorpropamida, tolbutamida; agentes psico-trópicos:
antidepresivos (ej.: amitriptilina, desipramina, imipramina, mianserina),
barbitúricos, benzodiacepinas, clozapina, meprobamato, fenotiazinas
(ej.: proclor-perazina, clorpromazina, tioridazina); otros agentes:
aminoglutetimida, antimonio, cimetidina, cinofeno, dapsona, DDT, dietazina,
dinitrofenol, sales de oro, ß y ß-interferon, metazolamida, penicilamina,
fenindiona, procainamida, piritildiona, quinina, ranitidina, ácido
tioglicólico, ticlopidina.
Agentes que afectan a todas las personas si son administrados en dosis
suficientes: drogas antineoplásicas: actinomicina
D, amsacrina, asparaginasa, azatioprina, carbo-platino, busulfan, clorambucil,
cisplatino, ciclofosfamida, citarabina, daunorubicina, dacarbazina, doxorubicina,
epirubicina, fluorouracilo, melfalan, mecloretamina, mercaptopurina, metotrexato,
mitomicina, mitoxantrona, nitrosoureas, plicamicina, tioguanina, vincristina,
vinblastina.
SERIE EOSINOFILICA
Eosinofilia
Desórdenes alérgicos: Asma bronquial,
urticaria, edema angioneurótico, fiebre del heno, algunas instancias
de sensibilidad a drogas.
Enfermedades de piel (especialmente pénfigo y
dermatitis herpetiforme): Dermatitis exfoliativa, eczema.
Infestaciones por parásitos: Especialmente
parásitos que invaden tejidos (ej.: triquinosis, hidatidosis),
menor comunmente en parasitismo intestinal.
Infecciones: Escarlatina, corea, aspergilosis
broncopulmonar alérgica, en la fase de convalescencia de otras
infecciones.
Desórdenes hematológicos: Leucemia
mieloide crónica, policitemia vera, anemia perniciosa, enfermedad
de Hodgkin, después de una esplenectomía, síndrome
hiper-eosinofílico.
Neoplasmas malignos: Especialmente con necrosis
o metástasis.
Miceláneas: Síndrome de Loeffler,
síndrome de infiltración pulmonar con eosinofilia, eosinofilia
tropical, irradiación, periarteritis nodosa, artritis reumatoidea,
sarcoidosis, ciertos venenos, tuberculosis, coccidioidomicosis, enfermedad
renal ateroembólica, anomalías hereditarias.
Desórdenes mieloproliferativos: Leucemia
mieloide crónica, mielofibrosis con metaplasia mieloide, policitemia
vera.
Eosinopenia
La mayoría de las infecciones piogénicas, esfuerzo,
eclampsia, cirugía mayor, shock.
Interferencias
La eosinofilia es frecuente en las reacciones alérgicas a
drogas tales como los anti-convulsivantes (ej.: carbamacepina, fenitoína),
antimicrobianos (cefalosporinas, sulfo-namidas, cloranfenicol, eritromicinas,
penicilinas, tetraciclinas, vancomicina), drogas antituberculosas y fenotiazinas.
Aumento: Ácido aminosalicílico, clorpropamida,
imipramina, mefenesina, nitro-furantoína, penicilina, sulfasalazina
y sulfonamidas (las cuales causan esosinofilia como parte del síndrome
de Loeffler); allopurinol, dapsona, etretinato, metotrexato, metildopa,
nafarelina, penicilamina, procarbazina, triamtereno.
Disminución: Corticotropina, epinefrina,
glucocorticoides, niacina, procainamida.
SERIE BASOFILICA
Basofilia
Misceláneas: Mixedema, colitis ulcerativa,
sinusitis crónica, varicela, viruela, reacciones de hipersensibilidad
a alimentos, drogas o inhalantes; reacción a proteínas extrañas
inyectables; nefrosis, anemias hemolíticas crónicas, enfermedad
de Hodgkin, post-esplenectomía.
Basopenia
Hipertiroidismo, ovulación, embarazo, estrés, infección
aguda, síndrome de Cushing.
Interferencias
Aumento: Estrógenos, drogas antitiroideas,
desipramina.
Disminución: Corticosteroides adrenales,
corticotropina, rayos X, quimioterapia, procainamida, tiopental.
SERIE LINFOCITICA
Linfocitosis
Infecciones: Mononucleosis infecciosa, linfocitosis infecciosa, hepatitis
viral, infección por citomegalovirus, otras infecciones virales;
pertusis, toxoplasmosis, herpes virus-6, rubeola, infección aguda
por HIV.
Desórdenes hematológicos: Leucemia linfocítica
aguda y crónica, enfermedad de cadenas pesadas, linfomas sanguíneos.
Reacción a drogas: Sulfonas, PAS, dilantina.
Linfocitopenia
Infecciones agudas y enfermedades (asociadas con corticosteroides
plasmáticos aumentados), tuberculosis miliar, pérdida de
linfa por intestinos (como en el daño del conducto torácico,
falla cardíaca derecha severa), enfermedad de Hodgkin, lupus eritematoso,
anemia aplásica, falla renal, carcinoma terminal, deficiencias
inmunológicas asociadas con disminución de linfocitos T,
SIDA.
Interferencias
Aumento: Albuterol, ácido aminosalicílico,
disulfuro de carbono (veneno), epinefrina, griseofulvina, haloperidol,
isoproterenol, levodopa, analgésicos narcóticos (adicción),
niacinamida, norepinefrina, fenitoína, mefenitoína, arsénico
orgánico, intoxicación por plomo, tetracloretano, ácido
valproico.
Disminución: Sueros antilinfocitos, asparaginasa,
clorambucil, cloroquina, corticotropina, glucocorticoides, litio, mecloretamina,
niacina, rayos X.
SERIE LINFOCITICA
Monocitosis
Infecciones: Endocarditis bacteriana subaguda, durante
la recuperación de infecciones agudas; virales, micóticas,
por Rickettsia y protozoos.
Enfermedad granulomatosa: Tuberculosis (especialmente
activa); sífilis, brucelosis, sarcoidosis; colitis ulcerativa.
Desórdenes hematológicos: Leucemia
monocítica aguda, leucemia mielomonocítica aguda, síndrome
mielodisplásico, desórdenes mieloproliferativos, mieloma
múltiple, enfermedad de Hodgkin y otros linfomas; neutropenias
de varias causas, durante la recuperación de anemia aplásica.
Colagenopatías vasculares: Lupus eritematoso,
artritis reumatoidea, poliarteritis nodosa, fiebre de origen desconocidos.
Monocitopenia
Injuria de médula espinal (anemia aplásica), leucemia
de células pilosas.
Interferencias
Aumento: Disulfuro de carbono (veneno), griseofulvina,
haloperidol, mefenitoína, metsuximida, fósforo (veneno),
prednisona, tetracloretano (veneno).
>> Volver al Test
Bibliografía:
1. LotharT. Clinical Laboratory Diagnostics: Use and assessment of clinical
laboratory results, English edition, 1998.
2. Young D. Effects of Preanalytical Variables on Clinical Laboratory
Test. AACC, second edition, 1997.
3. Young D. and Friedman R. Effects of Disease on Clinical Laboratory
Test, edited by AACC, third edition, 1997.
4. Lehmann C. A. Saunders Manual of Clinical Laboratory Science, W.B.Saunders
Company, Philadelphia, first edition 1998.
5. Young D. Effects of Drugs on Clinical Laboratory Test, AACC, third
edition, 1990.
6. Mc. Donald G.A., Paul J., Cruickshank B. Atlas de Hematología.
Ed. Panamericana 1995.
|