Does a common parasite play a role in rage disorder?

Study finds link between rage disorder and exposure to a common parasite.

0
2128
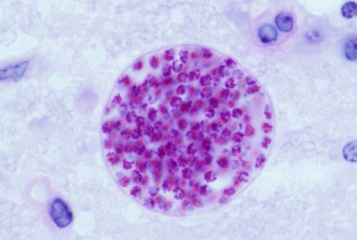
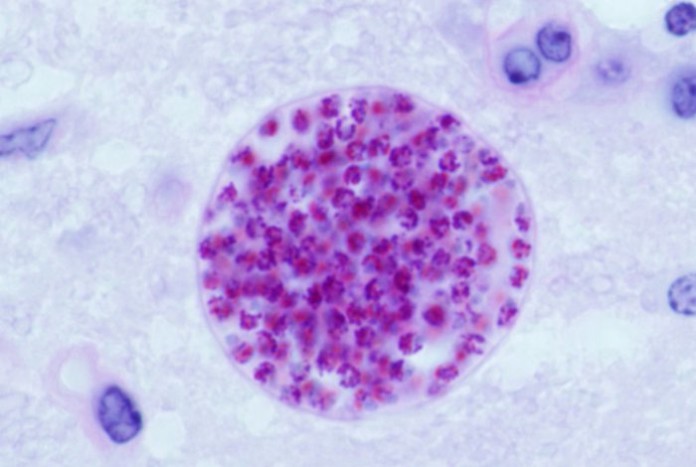
T. gondii tissue cyst

In recent years, a common parasitic infection – as many as a third of the world’s population may have it – has been linked to a range of psychiatric disorders, including schizophrenia and bipolar disorder, as well as behavioral dysregulation such as suicide attempts and car accidents. Now a new study has linked it to repeated bouts of rage, a disorder known as intermittent explosive disorder (IED).

The study, released March 23 in the Journal of Clinical Psychiatry, found that people with IED are more than twice as likely to have been exposed to a common parasite than healthy individuals with no psychiatric diagnosis.

“This is the first time we’ve confirmed this idea in humans,” said Teodor Postolache, a professor of psychiatry at the University of Maryland School of Medicine, the last author of the study. “It indicates that this parasite could be having significant effects on anger-related emotions and behavior in people with mental illness.” The study was based on the combined expertise in aggression and inflammation of the authors, University of Chicago psychiatry professor Emil Coccaro, the first author, and Dr. Postolache’s knowledge of T. gondii and neuroimmunology.

The study looked at 358 adults, and found that chronic latent infection with Toxoplasma gondii is associated with intermittent explosive disorder and increased aggression.

Those with IED have recurrent, impulsive, problematic outbursts of verbal or physical aggression that are disproportionate to the situations that trigger them. It affects as many as 16 million Americans.

Transmitted through the feces of infected cats, undercooked meat or contaminated water, chronic toxoplasmosis is typically latent and harmless for healthy adults. However, Toxoplasma it is known to reside in slow growing forms in brain tissue, and has the potential to intermittently reactivate.

The research team examined 358 adults, who were evaluated for IED, personality disorder, depression and other psychiatric disorders. Subjects were also analyzed for personality traits, including anger, aggression and impulsivity. Participants fell into one of three groups: about a third had IED. A third were healthy controls with no psychiatric history. The remaining third were individuals diagnosed with some psychiatric disorder, but not IED. This last group served as a control to distinguish IED from other psychiatric factors.

The study found that the IED group was more than twice as likely to test positive for toxoplasmosis, compared to the healthy control group. Around 16 percent of the psychiatric control group tested positive for toxoplasmosis, but had similar aggression and impulsivity scores to the healthy control group. IED-diagnosed subjects scored much higher on both measures than either control group.

Coccaro and Postolache caution that the study results do not address whether Toxoplasma infection actually cause increased aggression or IED.

Postolache and his colleagues are continuing their work on the relationship between Toxoplasma gondii, impulsivity and aggression in collaborations with researchers from Sweden (people who have recently attempted suicide) and Germany (aggression, impulsivity, and the neurotransmitter dopamine. If better understood, this connection may inform new strategies to predict and manage aggression and impulsivity, major factors implicated in violence towards self and others.

Source: Eurekalert