Novedosa prueba para la malaria establece nuevo estándar de oro

A pesar de una disminución del 60% en las muertes por malaria desde 2000, debido a una mejor prevención y un aumento de las medidas de control, la malaria sigue siendo una de las tres principales causas de muerte de niños en todo el mundo matando a una persona cada minuto de cada día.

0
32845

La malaria ya no es sólo una enfermedad del África subsahariana y del sur de Asia. El número creciente de personas que emigran de los países donde la malaria es endémica, han dado como resultado una mayor incidencia de la enfermedad en Europa y el Oriente Medio. La proporción de casos importados de malaria ha aumentado durante los últimos pocos años del 14% al 86% en los estudios más recientes.

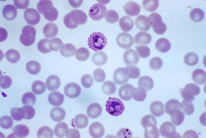
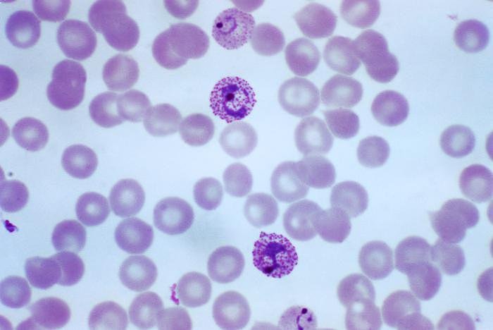
El diagnóstico de la malaria en la mayoría de los países en desarrollo se ha basado en la identificación de los parásitos mediante el examen microscópico, por un especialista, de una gota de sangre del paciente, explayada como un “extendido de sangre” sobre un portaobjetos de microscopio. La introducción de pruebas de diagnóstico rápido (PDR) tiene el potencial de mejorar significativamente el manejo de las infecciones de malaria, especialmente en áreas remotas con acceso limitado a buenos servicios de microscopía de calidad, pero su sensibilidad ha sido cuestionada.

La prueba, que recientemente recibió la marca CE, illumigene Malaria (Meridian Bioscience, Cincinnati, OH, EUA) es una prueba novedosa, de alta exactitud, dirigida contra una región del genoma de Plasmodium que se conserva a través de P. falciparum, P. vivax, P. ovale, P. malariae y P. knowlesi. Los resultados de los ensayos illumigene Malaria deben ser utilizados como una ayuda en el diagnóstico de la infección de la malaria humana. La prueba no requiere equipos de laboratorio especializados. La prueba demostró una sensibilidad del 100%, pero más importante, también detectó a los pacientes infectados que se habían pasado por alto, usando los métodos convencionales para la identificación de la malaria. La prueba illumigene Malaria, es una prueba novedosa, de alta exactitud, desarrollada por Meridian con la asistencia técnica de los Centros para el Control y Prevención de las Enfermedades (CDC, Atlanta, GA, EUA) y la Universidad Cheikh Anta Diop (Dakar, Senegal).

La prueba es hasta 80.000 veces más sensible para la detección del parásito de la malaria que las pruebas convencionales, lo que podría revolucionar el diagnóstico de la malaria y el establecimiento de un nuevo estándar de oro. A través del uso de la tecnología innovadora de amplificación isotérmica molecular mediada por bucle (LAMP), los resultados illumigene están disponibles en menos de una hora, y la prueba es fácil de usar, ya que no depende de conocimientos técnicos de alto nivel. Este es un gran paso hacia adelante para las personas con malaria, puesto que los diagnósticos más rápidos y más exactos deberían conducir a un tratamiento rápido y con mejores resultados. El ensayo de amplificación de ADN, illumigene Malaria, se realiza en el illumipro-10, para la detección directa del ADN de Plasmodium spp. en muestras humanas de sangre total venosa con EDTA, de los individuos con signos y síntomas de infección por malaria.

La prueba molecular, illumigene Malaria, utiliza la tecnología LAMP para amplificar el ADN y detectar la presencia del parásito de la malaria. La tecnología LAMP es isotérmica, por lo tanto, se puede utilizar a temperatura ambiente sin la necesidad de calentar los reactivos o el material que se va a analizar, a diferencia de algunas pruebas de diagnóstico rápido que se utilizan actualmente para la malaria, las cuales dependen de la tecnología de reacción en cadena de la polimerasa (PCR) y la prueba illumigene Malaria no requiere refrigeración. illumigene Malaria será distribuida en las regiones de Europa, África y Oriente Medio por Meridian Bioscience (Milán, Italia) y en los mercados internacionales adicionales por parte de la red de distribución global de la Compañía.

Fuente: LabMedica