Toxoplasma gondii podría estar relacionado con los ataques de ira en humanos

Los gatos son los animales domésticos favoritos de millones de personas en el mundo. También son los principales portadores del microscópico parásito Toxoplasma gondii, que ha infectado a casi un tercio de la población mundial.

0
54923

La toxoplasmosis, causada por el parásito, es generalmente asintomática, gracias a la acción de nuestro sistema inmune. Pero se sabe que Toxoplasma gondii reside en el tejido cerebral y, en los últimos años, varias investigaciones indican que puede causar cambios en el comportamiento del portador asociados con la agresividad, la impulsividad y los desórdenes de personalidad.

No todos los científicos están de acuerdo. En particular, un estudio de la Universidad de Duke, en Estados Unidos, califica de mito la idea que la toxoplasmosis “nos vuelve locos”.
No obstante, ha habido resultados que indican una fuerte correlación entre la enfermedad y la esquizofrenia, el desorden bipolar y el impulso suicida.

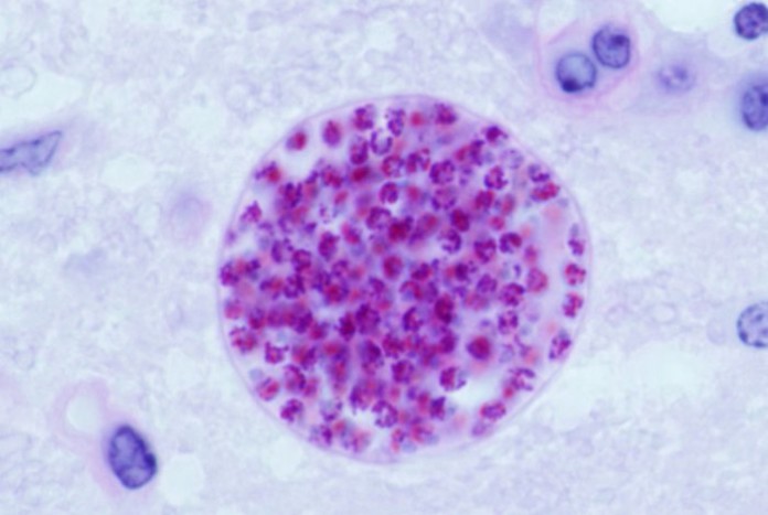
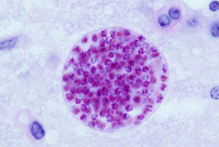
Toxoplasmosis

Los gatos se infectan con T. gondii si comen ratones con quistes de estos parásitos en sus tejidos. Los gatos son los portadores finales del parásito, que reside en sus intestinos y produce ooquistes que son expulsados con sus heces. Esos ooquistes pueden sobrevivir en el ambiente durante meses.

Si son ingeridos, los esporozoos que se han desarrollado dentro de los ooquistes pueden infectar a la mayoría de los animales de sangre caliente, incluyendo cerdos, ovejas y vacas.
Una vez dentro de estos organismos, se multiplican y se extienden por el cuerpo, formando quistes en el cerebro y el tejido muscular.

Hay varias maneras en que los humanos pueden infectarse con T. gondii. Incluyen el consumo de carnes contaminadas crudas o poco cocidas, ingestión accidental de ooquistes por contacto con gatos, agua o tierra contaminada, y la transmisión en el útero de madre al feto si la progenitora contrae la enfermedad por primera vez durante el embarazo.
Los parásitos forman quistes, particularmente en el cerebro, que pueden resultar en una infección latente de por vida.

Ira impulsiva

Un estudio realizado por la Universidad de Chicago encontró que episodios recurrentes de ira extrema e impulsiva –como la rabia de un conductor en la carretera– suceden con el doble de frecuencia en individuos que han estado expuestos a T. gondii.

La investigación, que involucró a 358 personas, asocia la infección parasitaria con el llamado desorden explosivo intermitente (DEI).

El DEI está definido en el Manual de Diagnósticos y Estadísticas de Desórdenes Mentales como recurrentes, impulsivas y problemáticas explosiones de agresividad verbal o física que son desproporcionadas a la situación que las genera.

“Nuestro trabajo sugiere que la infección latente del parásito T. gondii puede cambiar la química del cerebro de manera tal que incrementa el riesgo de comportamiento agresivo”, dijo el principal autor del estudio, Emil Coccaro, de la Universidad de Chicago.

Un 16% del grupo de control psiquiátrico dio positivo para toxoplasmosis, pero registró niveles de agresividad e impulsividad similares al grupo de control saludable. Por otra parte, los individuos diagnosticados con DEI dieron niveles mucho más altos en ambos registros que cualquiera de los grupos de control.

En todos los pacientes estudiados, los individuos con toxoplasmosis registraron niveles significativamente más altos en términos de ira y agresividad. Los resultados indican que la toxoplasmosis y la agresividad son los que están más fuertemente asociados.

Pero los investigadores advirtieron que todavía no entienden los mecanismos involucrados. “No sabemos si esta relación es causal y no todos los que dieron positivo para toxoplasmosis tendrán problemas de agresividad”, explicó Coccaro, añadiendo que se necesitan estudios adicionales.

Gatos y ratas

Se sabe por otros estudios que el parásito ha demostrado la capacidad de alterar el comportamiento de ratas, haciéndolas menos temerosas de los gatos. Esto podría explicar la necesidad evolutiva de T. gondii de querer entrar en el organismo de un felino.

Al no temerle al gato, la rata con toxoplasmosis es fácilmente consumida por el gato, que queda infectado garantizando la supervivencia del parásito en su principal portador.

Que el comportamiento de los humanos esté afectado de manera similar ha sido cuestionado por un estudio de la Universidad de Duke, publicado en febrero de 2016.

Concluye que hay poca evidencia de que T. gondii esté relacionado con un incremento en el riesgo de desórdenes psiquiátricos, pérdida de control impulsiva y otros cambios en la personalidad.

Ciertamente, todavía no es hora de que la gente se esté deshaciendo de sus gatos.
9 Puede consultar el artículo completo, en inglés, haciendo clic aquí.

Fuente: REC